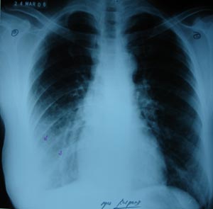
Right lower zone opacity

Multiple fibrotic bands in right lower zone & fine obliteration of right costophrenic angle is suggestive of thickened pleura, as a sequele of resolveing pleural effusion.

© 2025[current_year] The Doctors Platform. All Right Reserved.
© 2026 The Doctors Platform. All Right Reserved.