Left mid zone Koch’s infection 5

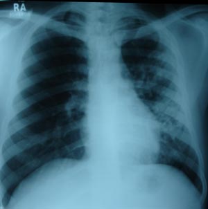
Right mid zone shows multiple fibronodular opacity, suggestive of unilateral koch’s infiltration. Patient on 4 drug AKT regimen. Marked improvement compared to previous x ray.

© 2025[current_year] The Doctors Platform. All Right Reserved.
© 2026 The Doctors Platform. All Right Reserved.